TRÀN DỊCH MÀNG PHỔI DO UNG THƯ
15:10 - 01/02/2023
Tràn dịch màng phổi do ung thư nói chung và ung thư phổi nói riêng và cách điều trị.
So sánh thời gian sống không tiến triển trong ung thư phổi giai đoạn 4: phác đồ nào giữ bệnh đứng yên lâu nhất?
Chọn đúng thuốc – Cơ hội sống dài hơn cho bệnh nhân ung thư phổi giai đoạn 4
Chọn đúng thuốc ung thư phổi giai đoạn 4 để sống lâu hơn
Các loại vắc xin điều trị ung thư: cơ chế, hiệu quả, hướng điều trị tiếp theo
TRÀN DỊCH MÀNG PHỔI DO UNG THƯ
- Giới thiệu
Tràn dịch màng phổi ác tính MPE là nguyên nhân thứ 2 gây ra tràn dịch màng phổi dịch tiết và ảnh hưởng khoảng 15% các loại ung thư. MPE thường gặp ở giai đoạn bệnh tiến triển hoặc di căn nên có tiên lượng xấu, thời gian sống thêm trung bình 3-12 tháng tùy loại ung thư và tình trạng bệnh nhân.
Ung thư phổi, vú, lymphoma là các nguyên nhân hay gặp nhất, sau đó là ung thư phụ khoa và ung thư màng phổi. Bệnh nhân thường có triệu chứng đau ngực, khó thở, ảnh hưởng nhiều tới chất lượng cuộc sống. Điều trị MPE chủ yếu là giảm nhẹ triệu chứng và cải thiện chất lượng cuộc sống. Biện pháp điều trị cần cá thể theo từng bệnh nhân phụ thuộc triệu chứng, thời gian kỳ vọng sống thêm, bẫy khí phổi…

- Triệu chứng lâm sàng
Khó thở là triệu chứng hay gặp nhất ở đa số bệnh nhân, tuy nhiên mức độ khó thở không chỉ liên quan tới mức độ dịch. Các yếu tố khác ảnh hưởng gồm: mất nhu mô phổi do xẹp phổi, giảm giãn nở lồng ngực, thay đổi cơ hoành, trung thất.
Mặc dù lượng dịch nhỏ cũng có thể gây khó thở nhiều và sự giảm triệu chứng khi chọc hút 200-300ml dịch giúp giảm kích thước lồng ngực và cải thiện cơ hô hấp. Khoảng 60% bệnh nhân có biểu hiện đau ngực. Triệu chứng khác có thể là ho, sốt, sụt cân, đổ mồ hôi đêm, mệt mỏi, và ngoài ra còn có triệu chứng của bệnh ung thư nguyên phát.
- Chẩn đoán
3.1. Chẩn đoán hình ảnh
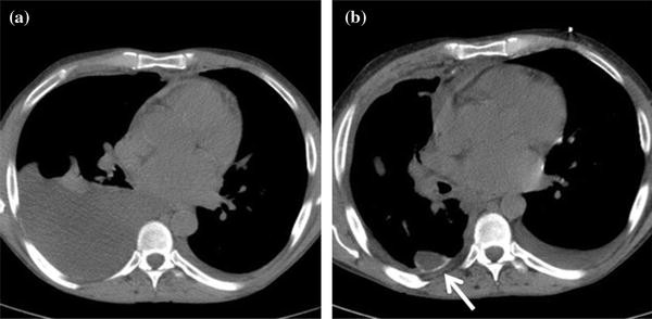
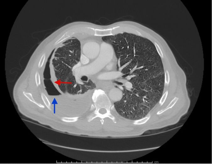
Hầu hết các phương pháp chụp chiếu sẽ giúp chẩn đoán MPE, lượng dịch màng phổi ít nhất 50ml là có thể phát hiện trên phim xquang phổi nghiêng và 200ml dịch là có thể thấy trên phim xquang phổi thẳng. Siêu âm màng phổi qua thành ngực nhạy hơn để phát hiện dịch và di căn màng phổi với dấu hiệu dày màng phổi, các dấu hiệu khác như vách hóa hay dịch khu trú.
Sự có mặt của các nốt màng phổi và các yếu tố khác như nốt cơ hoành hoặc dày màng phổi giúp dự báo ác tính từ 83-100%. Siêu âm màng phổi còn giúp điều trị với xác định vị trí chọc dịch và đặt dẫn lưu. Sau khi chọc hút, siêu âm còn giúp đánh giá khả năng giãn nở của phổi và tình trạng tràn khí màng phổi. Chụp CT ngực rất chính xác phát hiện MPE, đánh giá các thông tin về phổi, màng phổi dày>1cm, nốt màng phổi, dịch khu trú và các dấu hiệu ác tính khác.

3.2. Chẩn đoán mô bệnh học
MPE xảy ra do di cwan tới màng phổi bởi sự xâm lấn trực tiếp, qua đường máu hay bạch huyết. Chẩn đoán MPE cần có tế bào ác tính trong dịch màng phổi hoặc sinh thiết màng phổi có sự ác tính. Chọc dịch màng phổi xét nghiệm có thể chẩn đoán 60-75% các trường hợp nhưng vẫn bỏ sót nhiều chẩn đoán.
Sinh thiết màng phổi mù có độ nhạy kém hơn sinh thiết qua hướng dẫn CT, siêu âm có thể đạt độ nhạy tới 95% với các mảnh sinh thiết. Sinh thiết màng phổi còn có thể thực hiện qua nội soi màng phổi. Sinh thiết dưới hướng dẫn siêu âm có thể thực hiện dễ dàng mà không cần CT và thực hiện đồng thời chọc hút dịch màng phổi.
Dịch màng phổi MPE chủ yếu là dịch tiết theo tiêu chuẩn Lights: protein dịch/máu>0.5, LDH dịch/máu>0.6, LDH dịch >2/3 giá trị trên LDH máu, lượng dịch khoảng 60ml là đủ để chẩn đoán. Tuy nhiên việc dùng dịch màng phổi cho các xét nghiệm phân tử còn nhiều khó khăn.
- Điều trị MPE
Lượng dịch MPE ít không triệu chứng thì có thể chỉ theo dõi. Mục đích điều trị chính là giảm nhẹ triệu chứng cải thiện chất lượng cuộc sống bằng ít nhất các thủ thuật xâm lấn.
Chọc dịch màng phổi là thủ thuật đầu tiên để giảm triệu chứng MPE, nếu khối u có đáp ứng điều trị thì gần như chỉ cần chọc dịch điều trị triệu chứng. Chọc hút dịch có thể thực hiện ngoại trú ở nhiều chuyên khoa khác nhau.
Chọc dịch màng phổi còn giúp xác định sự bẫy khí phổi để quyết định các điều trị tiếp theo. Bẫy phổi là tình trạng phổi không nở được và màng phổi lá thành, lá tạng không tiếp xúc được bình thường với nhau, cơ chế là do hình thành các lớp sợi dọc theo bề mặt lá tạng màng phổi gây giảm độ giãn nở phổi. Tình trạng này có thể đánh giá bằng đo áp lực màng phổi sau dẫn lưu dịch hoặc chụp Xquang, CT ngực. Với bệnh nhân MPE tái phát đã giảm khó thở sau chọc dịch sẽ có nhiều lựa chọn tiếp theo: tiếp tục chọc hút dịch màng phổi, dẫn lưu và gây dính màng phổi, đặt catheter màng phổi IPC, phẫu thuật. Lựa chọn điều trị phụ thuộc tình trạng bệnh nhân, khả năng điều trị, chất lượng sống, kỳ vọng sống thêm, loại ung thư, có bẫy phổi hay không. Một số công cụ như điểm LENT có thể giúp lựa chọn điều trị.
4.1. Dẫn lưu và gây dính màng phổi
Với bệnh nhân MPE tái phát, nhiều triệu chứng và phổi còn giãn nở tốt thì phương pháp đặt dẫn lưu và gây dính màng phổi được ưu tiên lựa chọn. Gây dính với chất hóa học thúc đẩy sự dính màng phổi lá thành, lá tạng và xóa đi khoang màng phổi và phòng sự tái lập dịch. Nhiều chất có thể dùng gây dính như bột Talc, tetracycline, bleomycin, corynebacterium parvum, mitomycin, iodopovidine… trong đó bột Talc có hiệu quả nhất, tuy nhiên có thể gây đau do viêm màng phổi cấp, các biến chứng khác với bột Talc gồm sốt, viêm phổi cấp, ARDS và khí phế thũng. Bột talc kích thước nhỏ <15micron dễ gây ARDS do hấp thu hệ tuần hoàn.

4.2. Nội soi màng phổi và gây dính
Nội soi màng phổi giúp quan sát bề mặt màng phổi để vừa chẩn đoán và điều trị. Nội soi màng phổi có khả năng chẩn đoán cao tới 95% các nguyên nhân gây tràn dịch màng phổi dịch tiết so với các phương pháp khác. Nội soi màng phổi giúp sinh thiết chính xác, gây dính màng phổi, đặt dẫn lưu.
4.3. Đặt catheter màng phổi IPC
IPC là đặt 1 catheter trong màng phổi và nằm trong đường hầm dưới da bên ngoài, đặt 1 van 1 chiều để duy trì độ nở của phổi bằng cách dẫn lưu ngắt quãng dịch màng phổi. IPC có thể tự gây dính màng phổi bởi phản ứng viêm khối u và IPC trong 46-70% trường hợp. IPC là lựa chọn đầu tay nếu có bẫy phổi. Các nghiên cứu cho thấy IPC không kém hơn gây dính bột talc để giảm khó thở, ngoài ra còn giảm thời gian nằm viện, số lần can thiệp ít hơn và chỉ số khó thở tốt hơn sau 6 tháng. IPC có nhược điểm gây nhiễm trùng liên quan catheter và chăm sóc khó hơn nhất là bệnh nhân có kỳ vọng sống thêm >1 năm.
4.4. Các điều trị khác.
Với bệnh nhân gây dính thất bại và không đặt được IPC thì phẫu thuật có thể áp dụng. Phẫu thuật gây dính VAST là lựa chọn đầu tiên với trường hợp đủ điều kiện phẫu thuật. Phẫu thuật bóc vỏ màng phổi có thể áp dụng cho MPE đủ khả năng mổ và kỳ vọng sống thêm kéo dài. Ngoài ra đặt dẫn lưu màng phổi màng bụng có thể áp dụng ở một số ít trường hợp.
- Gây dính màng phổi
5.1. Giới thiệu
Gây dính màng phổi là thủ thuật xóa khoang màng phổi để phòng tránh sự tràn dịch màng phổi tái phát, tràn khí màng phổi hoặc tràn khí màng phổi dai dẳng. Gây dính màng phổi được thực hiện bởi dẫn lưu dịch hoặc khí màng phổi rồi gây dính bằng cơ học hoặc hóa chất vào trong khoang màng phổi, từ đó gây phản ứng viêm mạnh và tạo sợi xơ dẫn tới sự dính giữa 2 lá màng phổi. Gây dính màng phổi thường áp dụng cho tràn dịch màng phổi ác tính, do kỳ vọng sống thêm kéo dài nên gây dính sẽ giảm sự khó thở, cải thiện chất lượng cuộc sống, thời gian nằm viện và chi phí điều trị. Có 2 cách gây dính: Gây dính hóa học: bơm hóa chất vào khoang màng phổi qua dẫn lưu. Gây dính cơ học/phẫu thuật: thực hiện qua nội soi màng phổi, VAST, mở ngực.

5.2. Chỉ định
Chỉ định hay áp dụng nhất là tràn dịch màng phổi ác tính. Ngoài ra còn áp dụng với tràn khí màng phổi tái phát hay tràn dịch tái phát. Gây dính hóa học thường áp dụng nhất cho tràn dịch màng phổi ác tính, tràn dịch màng phổi không phải ác tính kháng trị (lọc máu chu kỳ, tràn dịch dưỡng chấp, hội chứng thận hư, lupus, do xơ gan, suy tim).
5.3. Chống chỉ định
Gây dính màng phổi thành công cần sự tiếp xúc sinh lý giữa màng phổi lá thành và lá tạng, do đó mọi vấn đề cản trở sự giãn nở của phổi đều có thể gây thất bại thủ thuật.
Đo áp lực màng phổi khi chọc hút dịch có thể xác định sự không giãn nở phổi. Cách đo ấp lực này là đo sự thay đổi áp lực màng phổi theo lượng dịch hút ra và đánh giá được sự giãn nở màng phổi ở thời điểm kết thúc thủ thuật. Giá trị giãn nở màng phổi >19cmH2O/1ml dịch hút ra chỉ điểm khả năng cao phổi không giãn nở và thất bại gây dính. Trường hợp này có thể dùng gây dính cơ học.

Các yếu tố khác dự báo không gây dính thành công như đã chiếu xạ ngực, dẫn lưu màng phổi >10 ngày, chỉ số Karnofsky<50, BMI< 25, ác tính, giới nam. Bệnh nhân có kỳ vọng sống thêm <3 tháng cũng không nên gây dính. Các chống chỉ định khác bao gồm bệnh nhân không đồng ý, lượng dịch chảy ra nhiều hơn 150 ml qua ống dẫn lưu ngực và nhiễm trùng màng phổi.
5.4. Chuẩn bị
Giải thích kỹ càng cho người bệnh, thực hiện gây mê an thần phù hợp. Cần đặt dẫn lưu ngực cố định ở một vị trí, phổi giãn nở tốt tới thành ngực và lượng dịch ra <100ml/24h.
5.5. Kỹ thuật
Gây dính màng phổi là thủ thuật xóa khoang màng phổi bằng cách tạo ra phản ứng viêm và sinh sợi bằng cách dùng chất gây dính. Chất gây dính có thể đưa qua ống dẫn lưu nhỏ hoặc lớn hoặc catheter màng phổi hoặc khi đang nội soi màng phổi, phẫu thuật. Phương pháp ưu tiên là gây dính qua ống dẫn lưu nhỏ bởi sự hiệu quả, ít xâm lấn.
Bột talc chưa nhiều calci, nhôm, sắt, bột talc rẻ tiền và sẵn có để thực hiện. Liều cao nhất khuyến cáo là 10g, bột talc gây phản ứng viêm mạnh sản xuất ra nhiều cytokine và phân tử dính như IL-8, VEGF, TGF.
Ống dẫn lưu màng phổi
Có thể dùng ống dẫn lưu to hoặc nhỏ, ống dẫn lưu to có thể gây khó chịu nhiều hơn. Ống dẫn lưu nhỏ so với ống to có tỉ lệ thất bại sau 3 tháng tương đương nhau. Chỉ số đau thấp hơn đáng kể với ống dẫn lưu nhỏ.
Gây dính hóa học
Gây dính hóa học với bột talc hay áp dụng nhất cho MPE tái phát, các chất khác có thể dùng là tetracyclin, doxycyclin, bleomycin. Tác dụng phụ hay gặp nhất là đau ngực và sốt. Sốt thường xảy ra sau 4-12 giờ sau thủ thuật và kéo dài đến 72h. Hội chứng suy hô hấp cấp ARDS là tác dụng phụ nặng nhất do các hạt phân tử nhỏ <25um gây viêm phổi và giảm oxy máu.
Gây dính khi nội soi màng phổi
Thủ thuật thực hiện dưới gây mê hoặc gây tê tại chỗ. Các trocar đưa vào khoang màng phổi, đánh giá màng phổi lá thành, lá tạng sau đó bơm khoảng 4g bột talc vào khoang màng phổi. Hệ thống dẫn lưu được kết nối sau thủ thuật để loại bỏ tràn khí và thúc đẩy sự tiếp xúc giữa 2 lá màng phổi. Tỉ lệ thành công của thủ thuật từ 68-78%. Thất bại chủ yếu do dẫn lưu không hoàn toàn, bẫy phổi, di lệch ống dẫn lưu.
Giảm đau
Màng phổi thành chứa nhiều receptor đau nên phản ứng viêm bởi chất gây dính sẽ gây ra đau nhiều. Dùng các thuốc giảm đau NSAID và opiat để kiểm soát đau. NSAID có thể làm giảm hiệu quả gây dính. Với MPE thì tỉ lệ thất bại khi dùng morphin và NSAID là tương đương nhau. Tuy nhiên việc lựa chọn thuốc tùy thuộc cá thể, mức độ đau, thuốc giảm đau đã dùng, tiền sử chảy máu tiêu hóa, chức năng gan thận và thời gian sống thêm.
5.6. Biến chứng
Thất bại của phương pháp có thể do tăng kích thước khối u gây giảm tế bào trung mô màng phổi và gây phản ứng viêm không đầy đủ. Loại u cũng có vai trò trong quá trình viêm, ung thư màng phổi lan tỏa hoặc di căn ung thư biểu mô cũng có đáp ứng viêm không đầy đủ. Nguyên nhân do các tế bào trung mô màng phổi bình thường tiết ra các chất cần thiết cho quá trình tạo sợi.
Phản ứng viêm toàn thân và hội chứng ARDS có thể gặp do hấp thu hệ thống bột talc, đặc biệt với các phân tử nhỏ và liều lượng cao bột talc. Một số nghiên cứu thấy có sự hoạt hóa quá trình đông máu gây huyết khối phổi. Có thể sốt sau gây dính do phản ứng viêm, có thể phản vệ với chất gây dính, nhiễm trùng màng phổi có thể gặp.
TÀI LIỆU THAM KHẢO
- Ali M, Surani S. Pleurodesis. [Updated 2022 Jul 25]. In: StatPearls [Internet]. Treasure Island (FL): StatPearls Publishing; 2022 Jan-. Available from: https://www.ncbi.nlm.nih.gov/books/NBK560685/
- Addala DN, Kanellakis NI, Bedawi EO, Dong T, Rahman NM. Malignant pleural effusion: Updates in diagnosis, management and current challenges. Front Oncol. 2022 Nov 17;12:1053574. doi: 10.3389/fonc.2022.1053574. PMID: 36465336; PMCID: PMC9712949.
Để biết thêm chi tiết xin liên hệ:
- Ths.Bs. Trần Khôi.
- Bệnh viện Phổi Hà Nội
- 44 Thanh Nhàn, Hai Bà Trưng, Hà Nội
- Hotline: 0983 812 084, 0913 058 294
- CHỮA BỆNH UNG THƯ PHỔI: https://www.facebook.com/groups/894940984347355
- YouTube: https://www.youtube.com/channel/UCjueL8VycYzFjGkVcglHV2g (comment các vấn đề thắc mắc)
