22:52 - 19/04/2025
CÁC THUỐC ĐIỀU TRỊ UNG THƯ PHỔI MỚI NHẤT 2025
Các thuốc điều trị ung thư phổi không tế bào nhỏ (NSCLC) mới nhất
Xem thêm14:36 - 24/11/2025
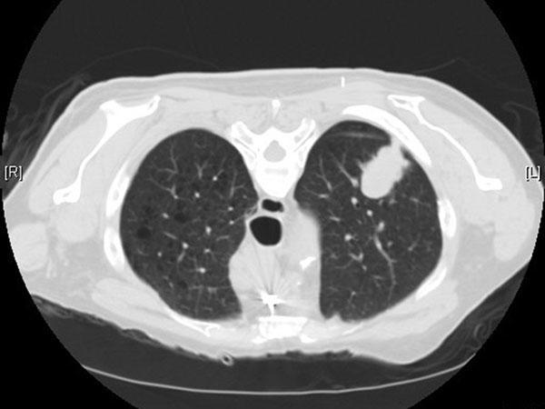
Nốt phổi là gì? Nguy cơ ác tính và lộ trình theo dõi an...
Giải thích nốt phổi dễ hiểu cho cộng đồng: phân loại đặc, kính mờ, bán đặc; nguy cơ ác tính theo kích thước và bờ; khi nào cần chụp PET CT, sinh...
Xem thêm20:12 - 07/11/2025
So sánh thời gian sống không tiến triển trong ung thư...
Cập nhật 10/2025: So sánh thời gian sống không tiến triển giữa các phác đồ ung thư phổi giai đoạn 4; cách chọn phác đồ giúp giữ bệnh đứng yên lâu...
Xem thêm09:58 - 05/10/2025
Chọn đúng thuốc – Cơ hội sống dài hơn cho bệnh nhân...
Khám phá giá trị của việc chọn đúng thuốc điều trị ung thư phổi giai đoạn 4 theo hướng dẫn NCCN 2025 – giúp kiểm soát bệnh, thu nhỏ khối u và...
Xem thêm10:04 - 27/09/2025
Chọn đúng thuốc ung thư phổi giai đoạn 4 để sống...
Hướng dẫn 2025 cho bệnh nhân: xét nghiệm gen + PD-L1 để chọn thuốc đích hoặc miễn dịch, giúp sống lâu hơn và ít độc tính hơn so với hóa trị ở...
Xem thêm08:16 - 15/09/2025
Các loại vắc xin điều trị ung thư: cơ chế, hiệu...
Toàn cảnh vắc xin điều trị ung thư: mRNA cá thể hóa, peptide, DNA, vectơ virus, DC, oncolytic, BCG, T-VEC; cơ chế, hiệu quả và ai phù hợp.
Xem thêm