CHẨN ĐOÁN BỆNH UNG THƯ PHỔI NHƯ THẾ NÀO?
06:44 - 05/08/2023
CHẨN ĐOÁN BỆNH UNG THƯ PHỔI NHƯ THẾ NÀO?
Quá trình chẩn đoán bệnh ung thư phổi cần làm những xét nghiệm gì và kỹ thuật gì để có thể xác định chính xác bệnh và phác đồ điều trị chuẩn?
Bước 1: Chụp cắt lớp vi tính (CT) lồng ngực có tiêm thuốc cản quang
Sau khi có hình ảnh nghi ngờ u phổi trên phim Xquang hoặc cắt lớp vi tính ngực (CT ngực), cần chụp CT lồng ngực có tiêm thuốc cản quang để đánh giá chi tiế
So sánh thời gian sống không tiến triển trong ung thư phổi giai đoạn 4: phác đồ nào giữ bệnh đứng yên lâu nhất?
Chọn đúng thuốc – Cơ hội sống dài hơn cho bệnh nhân ung thư phổi giai đoạn 4
Chọn đúng thuốc ung thư phổi giai đoạn 4 để sống lâu hơn
Các loại vắc xin điều trị ung thư: cơ chế, hiệu quả, hướng điều trị tiếp theo
CHẨN ĐOÁN BỆNH UNG THƯ PHỔI NHƯ THẾ NÀO?
Quá trình chẩn đoán bệnh ung thư phổi cần làm những xét nghiệm gì và kỹ thuật gì để có thể xác định chính xác bệnh và phác đồ điều trị chuẩn?
1. Bước 1: Chụp cắt lớp vi tính (CT) lồng ngực có tiêm thuốc cản quang
Sau khi có hình ảnh nghi ngờ u phổi trên phim Xquang hoặc cắt lớp vi tính ngực (CT ngực), cần chụp CT lồng ngực có tiêm thuốc cản quang để đánh giá chi tiết về:
- Vị trí khối u
- Kích thước khối u
- Sự liên quan với các cấu trúc khác: trung thất, tim, mạch máu, cột sống, màng phổi, màng tim, xương sườn, thần kinh.
- Các tổn thương khác: tràn dịch màng phổi, màng tim, nốt u ở phổi đối bên.
- Chụp CT lồng ngực có thể tiến hành ngay ngày đầu nhập viện. Đồng thời với các xét nghiệm cơ bản khác.

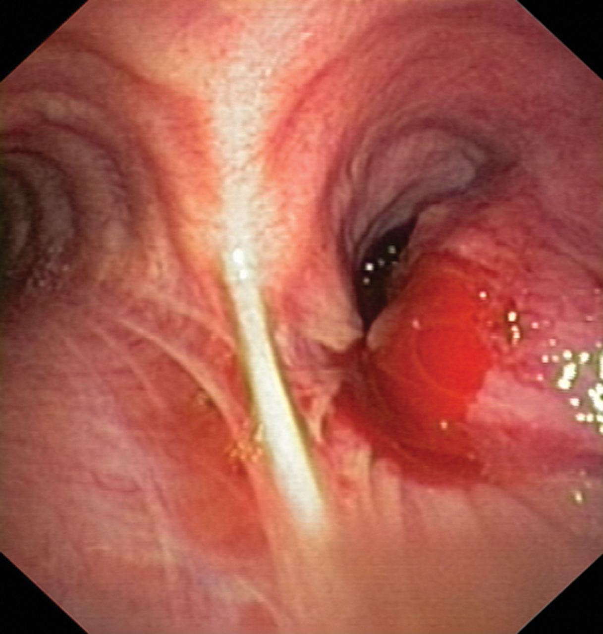
2. Bước 2: Nội soi phế quản
Nội soi phế quản rất quan trọng để đánh giá tổn thương trong lòng phế quản và các khối u trong lòng phế quản, đồng thời sinh thiết khối u:
- Khối u sùi trong lòng phế quản, có thể chảy máu, tăng sinh mạch máu, thâm nhiễm
- Hẹp lòng phế quản do khối u đè ép từ bên ngoài
- Liên quan khối u với vị trí carina
- Sinh thiết các khối u sùi trong lòng phế quản hoặc khối u đè ép bên ngoài qua siêu âm nội soi.
- Nội soi phế quản có thể tiến hành ngay ngày thứ 2 sau khi nhập viện.

3. Bước 3: Sinh thiết xuyên thành ngực khối u nếu chưa sinh thiết được qua nội soi phế quản
Nếu qua nội soi phế quản chưa thể sinh thiết khối u do ở vị trí xa, không quan sát thấy khối u thì sẽ tiến hành sinh thiết xuyên thành ngực khối u dưới hướng dẫn CT lồng ngực.
Người bệnh được chụp CT ngực, đánh dấu vị trí thuận lợi nhất và bác sĩ đưa kim sinh thiết từ bên ngoài, qua thành ngực, vào khối u và cắt mảnh nhỏ khối u để xét nghiệm.
Nếu không sinh thiết được khối u phổi do vị trí khó, nguy hiểm có thể nội soi lồng ngực để sinh thiết hoặc nếu có hạch cổ nghi ngờ thì rất dễ để sinh thiết.
Sinh thiết có thể tiến hành ngày thứ 4 khi nhập viện sau nội soi phế quản là hợp lý.
4. Bước 4: Xét nghiệm giải phẫu bệnh dựa trên mẫu sinh thiết khối u
Các mảnh khối u lấy được qua sinh thiết sẽ được xét nghiệm giải phẫu bệnh để xác định rõ:
- Bệnh ung thư phổi
- Loại ung thư phổi
- Các đề xuất xét nghiệm khác (hóa mô miễn dịch, đột biến gen, bộc lộ miễn dịch PDL1).
Bước xét nghiệm này là rất quan trọng để khẳng định có ung thư phổi và loại ung thư phổi. Một số trường hợp sẽ cần nhuộm hóa mô miễn dịch để xác định rõ loại ung thư phổi.
Kết quả xét nghiệm giải phẫu bệnh nhanh có thể có trong 48h sau khi gửi mẫu sinh thiết.
5. Bước 5: Xét nghiệm đánh giá giai đoạn ung thư phổi
Sau khi xác định rõ bệnh ung thư phổi, bước tiếp theo là đánh giá giai đoạn bệnh, gồm đánh giá sự lan tràn, di căn toàn thân của khối u phổi.
Mục tiêu là đánh giá có di căn xa ở sọ não, toàn bộ hệ xương, ổ bụng hay không. Có 2 bộ xét nghiệm chính gồm:
- Chụp PETCT toàn thân và cộng hưởng từ (MRI) sọ não
- MRI sọ não, xạ hình xương và CT ổ bụng có tiêm thuốc cản quang.
Qua các kết quả chụp này có thể đánh giá chính xác giai đoạn bệnh ung thư phổi. Gồm 4 giai đoạn:
- Giai đoạn bệnh sớm, tại chỗ, tại vùng: 1, 2, 3A.
- Giai đoạn bệnh tiến triển tại vùng: 3B, 3C
- Giai đoạn bệnh di căn: 4A, 4B

6. Bước 6: Xét nghiệm sinh học phân tử cá thể hóa phục vụ điều trị chính xác
Với sự ra đời của thuốc đích và miễn dịch có hiệu quả cao, người bệnh ung thư phổi được cá thể hóa theo đặc điểm về gen, miễn dịch nhằm lựa chọn phác đồ có hiệu quả nhất.
Các xét nghiệm sinh học phân tử gồm:
- Xét nghiệm đột biến gen tìm 10 gen cơ bản đã có thuốc đích điều trị: EGFR, ALK, ROS1, RET, MET, BRAF V600E, KRAS G12C, NTRK1/2/3, HER2.
- Xét nghiệm bộc lộ miễn dịch PDL1 (chỉ số %).
Xét nghiệm này tốt nhất nên làm với mẫu sinh thiết u phổi đã có, trường hợp không sinh thiết thì có thể lấy máu xét nghiệm nhưng độ chính xác sẽ thấp hơn. Với mẫu mô kết quả có sau 7 ngày, mẫu máu có thể lâu hơn tới 10 ngày.
Qua các bước chẩn đoán như trên sẽ cho đầy đủ thông tin về bệnh ung thư phổi theo đặc điểm gen của từng người bệnh:
- Ung thư phổi loại gì?
- Giai đoạn mấy?
- Di căn ở đâu?
- Có đột biến gen gì?
- Bộc lộ miễn dịch PDL1 bao nhiêu?
Để biết thêm chi tiết xin liên hệ:
- Ths. Bs. Trần Khôi - Bệnh viện Phổi Hà Nội
- 44 Thanh Nhàn, Hai Bà Trưng, Hà Nội
- Hotline: 0983 812 084, 0913 058 294
- http://bstrankhoi.vn/
- Youtube: https://www.youtube.com/channel/UCjueL8VycYzFjGkVcglHV2g

